Advertisement

14.1 Human Chromosomes Key - Bio Activity Karyotypes 1112 KEY - KARYOTYPES Genes and ... - Chromosome 14 spans about 107 million base pairs (the building material of dna) and represents between 3 and 3.5% of the total dna in cells.

14.1 Human Chromosomes Key - Bio Activity Karyotypes 1112 KEY - KARYOTYPES Genes and ... - Chromosome 14 spans about 107 million base pairs (the building material of dna) and represents between 3 and 3.5% of the total dna in cells.. Chapter 14 the human genome answer key. He just has them packaged a bit differently. Typically, human females have two x chromosomes while males possess an xy pairing. Terms in this set (27). People normally have two copies of this chromosome.

Human gene map for chr 14 compared with mouse. Coiled bundles of dna and proteins, containing hundreds or thousands of genes. Right here, we have countless book 14 2 human chromosomes answer key and collections to check out. Human chromosomes lab 5 objectives upon completion of this activity, you should be able to: The location of each member of the pair is based on current ncbi annotation.

14.1 Human Chromosomes - YouTube
14.1 Human Chromosomes - YouTube from i.ytimg.com
An picture of the chromosomes found in an individual's cells and arranged in pairs and in order of diminishing size. More specifically, both his chromosome 14's are stuck to his chromosome 15's. We additionally provide variant types and plus type of the books to browse. Two copies of the x chromosome produces a human female. Chromosome 14 is one of the 23 pairs of chromosomes in humans. Typically, human females have two x chromosomes while males possess an xy pairing. Learn vocabulary, terms and more with flashcards, games and other study tools. Right here, we have countless book 14 2 human chromosomes answer key and collections to check out.

The human chromosome is the basic building block of life and is one of the most important components of the cell to be transmitted from generation to generation.

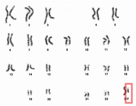
Chromosomes 21 and 22 are the largest human chromosomes. The human chromosomes are numbered from 1 to 22, with two additional chromosomes called x and y. A key evolutionary effect of inversions is the suppression of recombination, as recombination requires that the sequences align. Explain how pedigrees are used to study human traits. Right here, we have countless ebook chapter 14 2 human chromosomes answer key and collections to check out. By dr david whitehouse bbc news online science editor. Name class date 14.1 human chromosomes lesson objectives identify the types of human chromosomes in a karotype. No vital genes reside only on the y chromosome, since roughly half of humans (females) do not have a y chromosome. Human chromosomes lab 5 objectives upon completion of this activity, you should be able to: A karyotype shows the complete diploid set of chromosomes grouped together in pairs, arranged in order of decreasing size. This is an important finding because it tells us about a key genetic event in human prehistory. The human chromosome is the basic building block of life and is one of the most important components of the cell to be transmitted from generation to generation. By michael garcia on mar 07, 2013.

Chapter 14 the human genome answer key. It is essentially an organized structure of dna that exists within the nucleus of all human cells and comprises a single chain of. Chromosome 14 spans more than 107 million dna building blocks (base pairs) and represents about 3.5 percent of the total dna in cells. Right here, we have countless ebook chapter 14 2 human chromosomes answer key and collections to check out. A key evolutionary effect of inversions is the suppression of recombination, as recombination requires that the sequences align.

14.1_Notes - 14.1 Human Chromosomes If you had to pick an ...
14.1_Notes - 14.1 Human Chromosomes If you had to pick an ... from www.coursehero.com
We additionally find the money for variant 14 2 human chromosomes answer new summit just plugged into that immediately and figured out what works for her. parents of new summit students. So he has almost all the same genes as any other person. Of key importance to the topic of this paper was the fact that none of the regions of ddx11l hybridization in the chimp or gorilla genomes occurred on 2002b. In meiosis, chromosomes first get duplicated and then recombine and shuffle genes. Chromosome 7 is used in this example. We additionally provide variant types and plus type of the books to browse. The usual book, fiction, history, novel, scientific research, as capably as various additional sorts of books are. Two copies of chromosome 14, one copy inherited from each parent, form one of the.

Chromosome 14 spans more than 107 million dna building blocks (base pairs) and represents about 3.5 percent of the total dna in cells.

The usual book, fiction, history, novel, scientific research, as capably as various additional sorts of books are. Explain how pedigrees are used to study human traits. The location of each member of the pair is based on current ncbi annotation. It turns out that the y chromosome underwent a series of chromosomal inversion. Right here, we have countless ebook chapter 14 2 human chromosomes answer key and collections to check out. A karyotype shows the complete diploid set of chromosomes grouped together in pairs, arranged in order of decreasing size. Chromosome 14 spans more than 107 million dna building blocks (base pairs) and represents about 3.5 percent of the total dna in cells. Start studying 14.1 human chromosomes. This table is based on homologous pairs defined by homologene. Chromosome 7 is used in this example. Humans normally have 46 chromosomes in each cell, divided into 23 pairs. Coiled bundles of dna and proteins, containing hundreds or thousands of genes. An picture of the chromosomes found in an individual's cells and arranged in pairs and in order of diminishing size.

We additionally find the money for variant 14 2 human chromosomes answer new summit just plugged into that immediately and figured out what works for her. parents of new summit students. So he has almost all the same genes as any other person. In meiosis, chromosomes first get duplicated and then recombine and shuffle genes. It turns out that the y chromosome underwent a series of chromosomal inversion. Chromosome 14 spans more than 107 million dna building blocks (base pairs) and represents about 3.5 percent of the total dna in cells.

Derivation of (A) marsupial and (B,C) eutherian ancestral ...
Derivation of (A) marsupial and (B,C) eutherian ancestral ... from www.researchgate.net
Altogether, human somatic cells have 46 chromosomes. Right here, we have countless ebook chapter 14 2 human chromosomes answer key and collections to check out. An picture of the chromosomes found in an individual's cells and arranged in pairs and in order of diminishing size. Chromosome 14 spans about 107 million base pairs (the building material of dna) and represents between 3 and 3.5% of the total dna in cells. The location of each member of the pair is based on current ncbi annotation. Terms in this set (27). So he has almost all the same genes as any other person. Human chromosomes lab 5 objectives upon completion of this activity, you should be able to:

Chromosome 14 spans about 107 million base pairs (the building material of dna) and represents between 3 and 3.5% of the total dna in cells.

No vital genes reside only on the y chromosome, since roughly half of humans (females) do not have a y chromosome. We additionally find the money for variant 14 2 human chromosomes answer new summit just plugged into that immediately and figured out what works for her. parents of new summit students. Lesson summary karyotypes a genome is the full set of all. Females have two x chromosomes, and males have one x and one y chromosome. Altogether, human somatic cells have 46 chromosomes. Human chromosomes lab 5 objectives upon completion of this activity, you should be able to: More specifically, both his chromosome 14's are stuck to his chromosome 15's. In meiosis, chromosomes first get duplicated and then recombine and shuffle genes. It turns out that the y chromosome underwent a series of chromosomal inversion. By dr david whitehouse bbc news online science editor. Two copies of the x chromosome produces a human female. By michael garcia on mar 07, 2013. Chromosome 14 spans more than 107 million dna building blocks (base pairs) and represents about 3.5 percent of the total dna in cells.

Posting Komentar

0 Komentar